NOVO U POLIKLINICI 'DR. KNEŽEVIĆ' Provjerite jeste li kandidat za korekciju osmijeha s nevidljivim 'ClearSmile Alignerima'
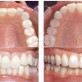
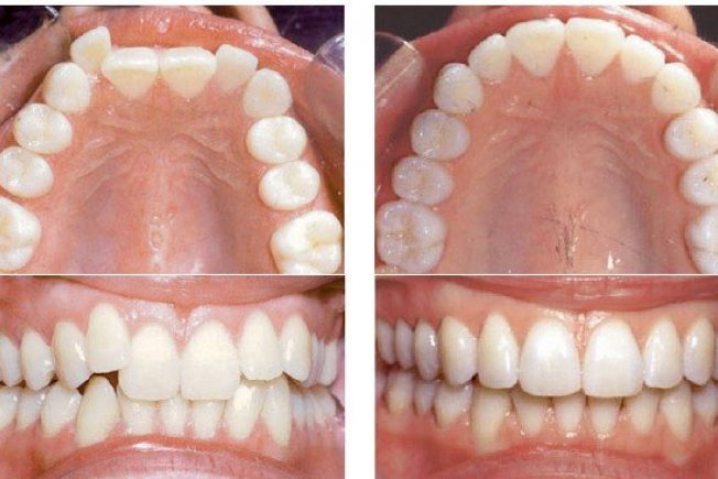
Iz Stomatološke poliklinike 'Dr. Knežević' stižu zanimljive novosti vezane uz inovacije u ortodonciji, a do savršenog osmijeha koji mijenja vaš izgled u vrlo kratkom vremenskom razdoblju možete doći sada i uz 'ClearSmile Alignere'.
Clear Smile Aligner je prozirna mobilna udlaga čiji je dizajn osmišljen da ispravlja zube u predjelu fronte, to jest odnosi se na šest do osam prednjih zubi. Clear Smile Aligner tehnologija može ispravljati položaj zubi koji su komprimirani, rotirani, pomaknuti prema van ili prema unutra.
Prednost ove metode je što se aligner može nositi cijeli dan i praktički je nevidljiv, a istovremeno blagim silama poravnava zube.


Aligneri nisu klasični ortodontski aparati. Oni su prozirni, lagani i mobilni te savršeno prianjaju uz vaše zube. Gotovo su nevidljivi pa ćete se osjećati samouvjereno i opušteno, budući da ćete samo vi znati da ih nosite.
Svaki set alignera izrađen je po uputama ortodonta, individualno za pojedinog pacijenta najnovijom tehnologijom digitalnog skeniranja!
Aligneri su nevidljivi način za ispravljanje zubi. Svaki aligner u setu pomiče zube u određenom iznosu, dok željena pozicija nije postignuta.
ZA VIŠE INFORMACIJA OBRATITE SE DR. JASMINI KNEŽEVIĆ, SPEC. ORTODONCIJE U STOMATOLOŠKOJ POLIKLINICI "DR.KNEŽEVIĆ" NA BROJ TELEFONA 020/356 122.


(PROMO)